Результаты для владельцев
Гистологическое исследованиеЦена: 1080 Срок исполнения: 14 дн.
Цена CITO: 1700 Срок CITO: 7 дн.
(Цены регистратуры АртВет, без учета скидок, CITO - с момента доставки в лабораторию)
Внимание! Стоимость исследования для 1 образца.
Посуда.
Емкости с 4 % формалином.
Исследуемый материал.
Биопсийный или гистологический материал.
Предварительная подготовка животного (рекомендации владельцу).
На гистологическое исследование направляется материал, полученный в ходе хирургического лечения.
Процесс забора материала (практические советы).
Для проведения гистологического исследования биопсийный материал берут непосредственно из патологически измененного очага. Методику биопсии классифицируют на:
1) тонкоигольную аспирационную биопсию Забор материала проводится тонкой иглой и позволяет забирать небольшое количество материала. Обычно тонкоигольную биопсию проводят до начала лечебного процесса для постановки предварительного диагноза. На основании полученного заключения врач разрабатывает лечебный план.
2) эксцизионную биопсию. Материал забирается во время хирургического вмешательства, орган или новообразование забирается целиком.
3) инцизионную биопсию. Материал забирается во время хирургического вмешательства, орган или новообразование забирается частично. Сразу же после забора материал помещают в емкость с 4% формалином. Размер емкости должен соответствовать объему взятого материала. Соотношение объема взятого материала и объема емкость с формалином 1:10. Емкость должна быть плотно закрыта для предотвращения испарения формалина.
Внимание! Если размер образцов для исследований большой их необходимо разрезать на кусочки 1х1 см.
Резать на кусочки нужно кубиками или ломтиками ( как нарезной батон)
Нельзя допускать заморозки, высыхания и разложения (протухания) материла. Емкости с биоматериалом должны быть помечены, и сопровождаться специальным дополнительным направлением, без которого материал в работу не принимается.
Условия хранения и транспортировки.
Хранят образцы в 4% формалине при комнатной температуре в темном месте .Срок хранения: длительно.
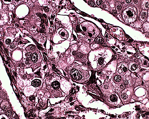
Гистологическое исследование представляет собой исследование тканей под микроскопом с целью проведения морфологической оценки патологических тканей. Исследование необходимо проводить во всех случаях, когда речь идет о постановке диагноза при выявлении опухолевых процессов или эррозивно - язвенных процессов любой этиологии. Кроме того это исследование позволяет провести уточняющую постановку посмертного диагноза в случае гибели животного.
Как правило исследование в следующих случаях:
после взятия биопсиного материала,
перед началом лечебного процесса (терапевтического или хирургического),
после проведенного хирургического лечения.
|